Peesscheur Schouder (cuff ruptuur)
- Heb je een ongeval gehad en doet je schouder pijn?
- Kan je je arm niet goed meer optillen?
- Kan je niet op de pijnlijke schouder slapen?
Het kan zijn dat je een van de pezen van je schouder hebt gescheurd. Dit kan pijnlijk zijn. Wil je weten of je klachten verklaard worden door een gescheurde pees? Neem dan contact op met ons.
Wat is een Cuff ruptuur?
De pezen van je schouder worden ook wel de rotatorcuff of kortweg cuff genoemd. De cuff bestaat uit vier pezen rondom de schouder, allen verantwoordelijk voor het bewegen van je schouder.
Ruptuur is een ander woord voor scheur. Bij een cuff ruptuur is er dus sprake van een scheurtje in de pees. Een scheurtje in een van de pezen van de cuff kan heel vervelend zijn.
Je krijgt pijn in rust en bij bewegen. Je hebt mogelijk ook -tijdelijk- minder kracht. ’s Nachts heb je ook vaak last van de schouder.
Oorzaak
Oorzaak cuffruptuur
Scheurtjes in een schouderpees verlopen op oudere leeftijd vaak zonder problemen. Zo krijgen mensen vanaf ongeveer het 55e levensjaar veranderingen in de pees. De pees wordt ouder en kan kleine scheurtjes vertonen. Dit is normaal en past bij de leeftijd.
Dit zijn verschillende oorzaken voor een scheur in de cuff. Ook op jongere leeftijd.
- val op de arm
- een schouder uit de kom
- plotselinge ruk aan de arm
De pees kan nu gedeeltelijk of volledig zijn afgescheurd. Vaak is hierbij ook de slijmbeurs betrokken. Deze vult zich met vocht en kan pijn veroorzaken.
Klachten en symptomen
Klachten cuffruptuur
Bij een cuff ruptuur maken we onderscheid tussen scheurtjes die langzaam ontstaan door veroudering en de scheurtjes die ontstaan door een trauma/ongeval.
Bij deze laatste groep is de pijn vaak heftiger.
Je voelt een of meerdere van de volgende symptomen.
- Pijn aan de zijkant of voorzijde van de schouder
- Uitstralende pijn naar de bovenarm
- Bovenhands bewegen doet pijn of is niet goed mogelijk
- Pijn bij liggen op de schouder
Diagnose en onderzoek
Onderzoek cuffruptuur
Een goede schouderpees is belangrijk voor het kunnen heffen van je schouder. Je doet er goed aan, om bij aanhoudende klachten, de schouder te laten beoordelen door een ervaren schouderfysiotherapeut.
Om te kunnen onderzoeken welke pees is aangedaan, maken we gebruik van lichamelijk onderzoek. Hierbij worden kenmerken genoteerd die kunnen duiden op langer bestaande spier/peesuitval.
We kijken ook naar krachtsverlies en pijn.
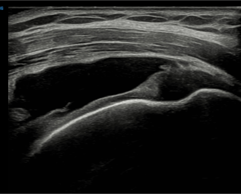
Met echografie kunnen we de schouderpezen goed beoordelen. Met behulp van een echo bepalen we de grootte en locatie van de scheur.
Echografie cuff ruptuur
We kijken naar verschillende soorten scheurtjes:
Gedeeltelijke scheur schouderpees (partiele cuff ruptuur)
Een gedeeltelijke scheur noemen we ook wel een partiele ruptuur. De pees is aan de bovenzijde of aan de onderzijde ingescheurd. Dit kan meerdere pezen tegelijk betreffen.
Als een pees voor tweederde is ingescheurd, overleggen we met de orthopeed over het beleid. Die beoordeelt of de pees geopereerd moet worden, afhankelijk van leeftijd en andere klachten. Natuurlijk heb je hier zelf ook een stem in.
De meeste partiele rupturen worden niet-operatief behandeld. Met voldoende rust, pijnstilling en fysiotherapie nemen de klachten na verloop van tijd vanzelf af.
Volledige scheur schouderpees (full thickness cuff ruptuur)
Bij een volledige cuff ruptuur is de pees helemaal doorgescheurd. De pees trekt zich terug en moet beoordeeld worden door de orthopeed voor een herstellende operatie.
Toch worden niet alle volledige cuff rupturen doorgestuurd.
Vooral de pezen die scheuren door een ongeval bij mensen jonger dan 60, hebben een goede kans op genezing na een operatie.
Ben je ouder en heb je geen ongeval doorgemaakt?
Waarschijnlijk is het scheurtje ontstaan door ouderdom. We kiezen er nu voor met rust, medicatie en fysiotherapie de schouderpees weer in het gareel te krijgen.
We overleggen altijd met je wat we kunnen betekenen voor de behandeling van jouw schouderklachten. De huisarts stellen we op de hoogte met een verslag van onze bevindingen.
Behandeling
Fysiotherapie en peesscheur schouder
Veel scheurtjes in pezen kunnen behandeld worden met behulp van een goede schouderfysiotherapeut.
Natuurlijk is een goede inschatting van de grootte van de scheur eerst belangrijk.
Zodra dit duidelijk is, met behulp van lichamelijk onderzoek en echografie, wordt een behandelplan gemaakt. Als de scheur te groot is, wordt je doorgestuurd naar de orthopeed, in samenspraak met de huisarts.
Behandeling van kleine peesscheuren bestaat uit rust en oefentherapie. We leggen je uit hoe je weer zo snel mogelijk een minder pijnlijke schouder krijgt. Ook leren we je om de schouder weer te gaan gebruiken in het dagelijkse leven. Lees hieronder verder bij “ cuffruptuur oefeningen”.
Cuff ruptuur operatie
Een cuff repair is de term voor een hersteloperatie van de schouderpezen. De orthopedisch chirurg, ook wel orthopeed genoemd, kiest voor een open of scopische repair.
Een open repair betekent dat er een snede gemaakt wordt in de huid. De orthopeed kan er goed bij en heeft zicht op het operatiegebied. De pezen worden terug geplaatst op hun aanhechtingsplaats, het bot. Er ontstaat een litteken van de huid > 2 cm.
Vaak wordt voor deze manier gekozen als meerdere pezen geopereerd moeten worden.
Voordelen scopische operatie
Bij een scopische repair wordt via kijkgaatjes de schouder geopereerd. Ook nu worden de pezen terug geplaatst op het bot. Je hebt een minder groot litteken, <2cm. Het heeft een aantal voordelen:
- Geen grote wond
- Minder groot litteken
- Snellere wondgenezing
- Minder gevaar op infectie
- Minder gevaar op nabloeding
- Mogelijk minder pijn.
Vaak wordt bij de jongere patient voor een scopische operatie gekozen. De keuze voor open of scopisch ligt aan verschillende redenen en soms aan de voorkeur van de orthopeed.
Voor overleg of een operatie zinvol is, hebben wij nauw contact met de orthopeden:
mw A. Lindenhovius, Diakonessenhuis Zeist
Dhr O. van der Meer, Annatommie Utrecht
Dhr R. Wessel, St. Antonius, Leidsche Rijn.
Dhr M. van der List, Bergmanclinics, Naarden.
Van Aandoening naar Beter
Schoudernetwerk Midden Nederland
Bij het FysioHuis | SchouderHuis zijn we aangesloten bij het Schoudernetwerk Midden Nederland. Dit is een groep fysiotherapeuten die regionaal en landelijk afspraken hebben gemaakt over de voorwaarden en eisen die gesteld worden aan een goed revalidatieprogramma voor schouders. Ook beschikt het netwerk over nauwe contacten met (schouder) orthopeden voor over operaties of andere behandelmogelijkheden.
Meer informatie kunt u vinden op Schoudernetwerk Midden Nederland.




